송파구치과
치아의 기능 회복을 위해

안녕하세요. 서울봄플란트치과
대표원장 송원섭입니다.
치아는 오복 중의 하나로
백세시대를 맞아 건강하고
행복한 삶을 영위하기 위해는
치아 건강은 필수인데요.
하지만 충치, 치주 질환, 노화,
예기치 못한 사고 등
다양한 원인에 의해
치아를 상실하기도 합니다.
치아를 상실하는 원인들 중
가장 대표적인 요인인 치주 질환은
우리가 흔히 잇몸병,
풍치라고 말하는 질병으로
치아와 잇몸 사이에서 발생하는
염증성 질환인데요.
치주 질환이 잇몸에만 국한되어 있는
치은염인 경우에는 치료를 통해
빠른 회복을 기대할 수 있지만
염증이 잇몸뼈까지 진행되어
잇몸뼈를 녹이거나 고름이 생기는 등
치주염으로까지 진행이 된다면
심한 경우 치아가 자연적으로 빠지거나
발치해야 하는 상황이 생길 수도 있습니다.
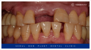
오늘은 위턱 앞니의 임플란트 탈락으로
송파구치과 서울봄플란트치과를
내원해 주신 사례를
소개해 드리겠습니다.
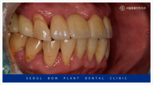
환자분께서는 50대 초반의
남성분으로 타 치과에서 했던
오른쪽 위턱 첫 번째 앞니(#11)의
임플란트가 빠져 상담을 위해
내원해 주셨는데요.

앞니는 원래도 잇몸뼈가 얇은 데다가
환자분께서는 임플란트 주위염으로 인해
잔존 잇몸뼈가 약해져
기존 임플란트가 탈락한 상황이었는데요.

정밀한 검사를 위해
파노라마 사진을 촬영해 보았더니
잇몸뼈 소실로 많이 약해져 있는 상태라
다시 임플란트를 식립하기에는
무리가 있었습니다.
위턱 오른쪽 앞니(#11)의 경우
환자분과 충분한 상담을 통해
양옆의 치아를 이용한
브릿지 보철물을
진행하기로 계획하였는데요.
기존 임플란트가 빠지고
잇몸뼈가 소실이 심한 상태라
잇몸뼈가 어느 정도 찰 때까지
충분한 시간을 가지고
진행하기로 하였으며,
심미성이 중요한 앞니이다 보니
일상생활에 있어 불편감을
덜어드리기 위해
wire temporary 제작하여
사용하실 수 있도록
도와드리기로 하였습니다.
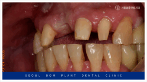
앞니 외에도 치료가 필요한 부위가
많이 있었는데요.
빨간색 동그라미 표시의
위턱 왼쪽 첫 번째 큰 어금니(#26)와
아래턱 왼쪽 작은 어금니(#34,35)
아래턱 오른쪽 첫 번째 큰 어금니(#46)가
뿌리 끝 염증과 함께 동요도도 심한 상태라
발치가 불가피한 상황이었습니다.
양측 어금니의 상실로
저작이 되지 않고 있다 보니
앞니에 무리가 많이 가는 상황으로
어금니의 수복이 시급했는데요.
환자분께서도 어금니가 없다 보니
평소 불편감이 많으셨다며
임플란트 진행을 원하셨습니다.
송파구치과 서울봄플란트치과에서는
먼저 불필요한 치아를 발치 후
주변 염증조직을
깨끗하게 제거하였으며,
잇몸뼈가 어느 정도 차오를 때까지
충분한 시간을 가지기로 하였습니다.

먼저 왼쪽 위턱의
기존 상실된 부위부터
임플란트 식립을 진행하였으며

잇몸이 아무는 정도에 따라
아래턱 오른쪽과 왼쪽에 차례대로
임플란트 식립을 진행하였는데요.

발치를 했던 부위이다 보니
잔존 치조골의 양이 부족하여
잇몸뼈를 충분히 보완한 뒤
안정적으로 임플란트 식립을
도와드렸습니다.

위턱의 오른쪽 임플란트도 진행하였는데요.
위턱 오른쪽 어금니 부위의 경우
잔존 치조골과 상악동과의 거리가
가깝게 위치해 있어
임플란트를 식립하기에는
수직적인 거리가 부족하여
이 경우 상악동 거상술을 동반한
뼈이식이 필요하였는데요.
상악동이란
코 양옆이 위턱뼈 속에 있는
텅 빈 공간으로
발치 후 오랜 기간 방치되어 있거나
나이가 들수록 점점 내려오게 되는데요.
내려앉은 상악동을 들어 올려
빈 공간에 충분한 뼈이식을 통해
안정적인 임플란트 식립이
가능하도록 하는 수술이
상악동 거상술입니다.
상악동 거상술의 방법에는
두 가지가 있는데요.

첫 번째로 치조정 접근법으로
임플란트를 식립할 부위에 구멍을 뚫어
상악동 막을 들어 올려
뼈를 이식해 주는 방법이며

두 번째는 측방 접근법으로
임플란트를 식립할 부위의
볼 쪽 잇몸뼈에 구멍을 뚫어
상악동 막을 들어 올려
뼈이식을 진행하는 방법인데요.
송파구치과 서울봄플란트치과에서는
환자분의 상태를 면밀히 살핀 후
신중하게 판단하여
그에 맞는 상악동 거상술 방법을 결정하여
진행을 도와드렸는데요.
상악동은 매우 얇은 막으로
이루어져 있기 때문에
수술 중 찢어지거나
구멍이 생기는 경우가 있어
상악동 거상술을 동반한 임플란트 식립은
난도가 매우 높기 때문에
풍부한 임상경력을 가진
숙련된 의료진에게 받는 것이 중요합니다.

위턱 왼쪽도 마찬가지로
상악동 거상술을 동반하여
부족한 잇몸뼈를 충분히 보강한 뒤
임플란트 식립을 도와드렸습니다.

임플란트와 잇몸뼈가
단단히 결합되기를 충분히
기다린 뒤 아래턱 양측 먼저
임플란트 보철물 제작을 진행하였으며,
최종 보철물은
자연치아와 강도가 유사하고
심미적인 지르코니아 보철물로
마무리해 드렸습니다.

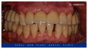
위턱의 양측 어금니 부위도
충분한 시간이 지난 뒤
보철물 수복을 위한
인상채득을 진행하였으며,
아래턱과 같이
지르코니아 보철물로
마무리해 드렸습니다.





양측 위아래 어금니의
임플란트 보철물이 마무리되고 나서
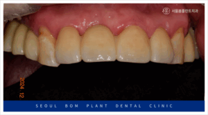
앞니 심미보철치료를 진행하였는데요.
앞니는 심미성이 중요한
부위이다 보니 치아를 다듬기 전
환자분과 함께 색상과 모양을
꼼꼼하게 확인하는 작업을 거쳤으며




보철물 수복에
필요한 만큼의 양만 삭제하여
신경치료 없이 진행을 하였습니다.




앞니도 어금니와 마찬가지로
심미성이 높은 지르코니아
보철물로 수복해 드리면서
모든 치료를 마무리해 드렸는데요.

환자분께서는 임플란트를
사용하실 때보다
훨씬 더 심미적여서
마음에 드신다고 말씀해 주셨으며,
양측 어금니의 식사가 가능해져
만족해 하셨는데요.
치아의 소중함을 깨달으시고
앞으로 관리를 잘 해주시겠다고
약속해 주셨답니다.

이렇게 앞니 임플란트 탈락으로 인한
심미보철치료,
상실된 부위에는 임플란트 식립을
도와드린 사례를 소개해 드렸는데요.
임플란트는
자연치아를 상실하였을 때
대체할 수 있는
가장 좋은 치료방법 중 하나로
사후관리만 잘 이루어진다면
반영구적으로 사용할 수 있기 때문에
장기적으로 봤을 때는
경제적인 치료이지만
구강 위생 관리를 소홀히 하게 된다면
임플란트 주위염이 발생하여
주변 잇몸뼈가 흡수되고
소실되어심한 경우에는
식립해둔 임플란트가 탈락하는 일이
생길 수도 있는데요.
그렇기 때문에 평소 꼼꼼한 양치와
치실 및 치간칫솔을 사용하여
임플란트 주변을
깨끗하게 관리해 주어야 하며,
불편함이 없더라도
정기적인 치과 검진과
스케일링을 통해
구강을 더욱더 청결하게
관리해 주는 것이 좋습니다.

송파구치과 서울봄플란트치과에서는
모든 치료가 마무리된 후에도
사후관리를 통해
건강하고 청결한 구강상태를
유지할 수 있도록 도와드리고 있습니다.
다수의 치아 상실로 인해
불편감을 겪고 계신다면
더 이상 방치하지 마시고
서울봄플란트로 내원하시어
건강한 구강환경을 회복할 수 있도록
도와드리겠습니다.
감사합니다.

* 모든 증례 사진은 의료법 제23조,
제56조에 의거하여,
당사자의 동의하에 게시하였습니다.
* 치료 사진은 모두 본원에서 치료한
환자분의 사진입니다.
* 치료 사진은 모두 동일인의 사진이며,
동일 조건에서 촬영하였습니다.
* 개인의 차이에 따라
시술 및 수술 후 부작용이 발생할 수 있으며,
의료진과 충분한 상담을 받으시길 바랍니다.