오금역치과
뼈이식임프란트로 치아상실 회복을

안녕하세요. 서울봄플란트치과
대표원장 송원섭입니다. ^^
충치는 조기에 치료하지 않으면 빠르게 진행되어,
치아 내부까지 영향을 미칠 수 있습니다.
만약 초기 증상을 방치하게 되면,
충치가 치아의 치수까지 확산되어 통증을 유발하고,
심각한 경우 치아 내부 치수까지 염증이 발생할 수 있습니다.
이러한 염증은 치아 흔들림을 초래하며,
결국 발치가 필요할 수도 있습니다.

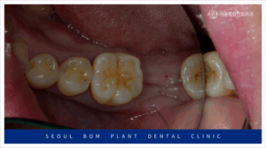
오늘 소개할 환자분은 50대 여성으로,
아래턱 오른쪽 어금니가 가만히 있어도 아프고,
볼이 많이 부어 있는 증상으로 저희 치과를 내원하셨습니다.
이 환자분은 저희 치과에 오기 전에
다른 치과에서 진료를 받았으나,
심한 골 소실로 인해 임플란트 치료가
불가하다는 판단을 받으셨다고 합니다.
이 환자분의 상태를 정밀하게 검사하기 위해
파노라마 촬영을 진행한 결과,
아래턱 오른쪽 두 번째 어금니(#47) 주변에
심각한 염증이 확인되었습니다.
이 염증이 하치조 신경관까지 영향을 미쳐,
방치할 경우 주변 조직과 다른 치아에까지
영향을 미칠 수 있는 위험한 상황이었습니다.
따라서 이 환자분에게는 빠른 발치가
필요한 상황이었습니다.
방치된 충치나 염증은 심각한 합병증을 일으킬 수 있으므로,
불편함을 느낄 때 즉시 전문의의 진료를 받는 것이 중요합니다.

치아의 상태를 꼼꼼하게 검사한 결과,
발치 후 임플란트가 가능하다고 판단되었습니다.
이에 따라 환자분께는 치아 상태와
치료 과정에 대해 자세하게 설명을 드리고,
당일 발치를 진행하기로 결정하였습니다.
오금역치과 서울봄플란트에서는
아래턱 오른쪽 두 번째 어금니(#47)의 발치 후,
소파 작업을 철저히 진행하였습니다.
소파 작업은 임플란트 치료에서
매우 중요한 단계입니다.
만약 발치 후 염증 조직이 남아있을 경우,
잇몸뼈의 회복이 지연되고,
임플란트의 결합을 방해할 수 있습니다.
결국, 임플란트 주변에 다시 염증이
생길 위험이 있기 때문에,
꼼꼼한 소파 작업이 필수적입니다.




발치 후 3개월이 지난 뒤,
임플란트 식립을 위해 잇몸을 절개하고
골 내부 상태를 확인한 결과,
발치 당시 심한 염증이 있었던 부위가
잇몸뼈 회복이 더디게 이루어져
움푹 패인 상태를 보였습니다.
이렇게 잇몸뼈가 부족한 상태에서
무리하게 임플란트 식립을 하게 되면,
식립한 임플란트가 고정력을 얻지 못하게 되어,
결국 흔들리거나 금세 탈락하는 등의
문제가 발생할 수 있습니다.
이로 인해 임플란트의 장기적인
안정성을 확보하기 어려워지며,
임플란트의 기능을 제대로 발휘할 수 없습니다.
따라서, 임플란트를 오랫동안 건강하게
사용하기 위해서는 뼈이식이 필요한 경우가 많습니다.


오금역치과 서울봄플란트에서는 임플란트 식립 전,
부족한 잇몸뼈를 채우기 위해
다량의 뼈이식을 먼저 진행하였습니다.
뼈이식은 임플란트를 안정적으로 식립하기 위한
필수적인 과정으로, 잇몸뼈가 부족한 경우에
필요한 치료입니다.


뼈이식 후에는 하얀색 막인 흡수성
멤브레인으로 이식한 부위를 덮어주었습니다.
이 흡수성 멤브레인은 이식한 뼈가
유실되지 않도록 단단하게 잡아주며,
뼈가 단단하게 굳는 동안
그 자리를 보호하는 중요한 역할을 합니다.
이 멤브레인은 골 형성 보조 기능을 담당하며,
차후 임플란트 식립 시 성공률을
더욱 높여주는 역할을 하게 됩니다.
뼈가 제대로 형성되기 위해서는
외부 자극이나 압력에 의한 손상을
방지해야 하므로, 이 멤브레인이
중요한 보호막 역할을 하는데요.
결국, 흡수성 멤브레인은 임플란트 식립 전후의
뼈 건강에 중요한 기여를 하며,
임플란트가 안정적으로 자리 잡을 수 있도록 돕습니다.

뼈이식 2달 후, 파노라마 촬영을 통해
발치 부위에 하얗게 뼈가 차오른 것을 확인한 후,
임플란트 식립을 진행하였습니다.
오금역치과 서울봄플란트에서는 임플란트 식립 전,
파노라마와 3D CT 촬영을 통해 환자의
구강 상태를 꼼꼼하게 검진했습니다.
이러한 정밀한 검사를 통해 임플란트 식립에
적합한지 여부를 평가하고,
치료 계획을 철저하게 수립합니다.
이 과정에서 얻은 결과를 바탕으로,
환자에게 적절한 치료를 제공하며
임플란트 식립을 안정적이며
성공적으로 시행해 드렸습니다.

임플란트 식립을 위해 잇몸을 절개하여
내부를 확인해 보았더니,
뼈가 단단하게 자리 잡은 것을 확인할 수 있었습니다.
이로써, 충분히 안정적인 뼈 상태에서
임플란트를 식립할 수 있는
환경이 마련되었음을 알 수 있었습니다.
절밀한 식립 과정은 임플란트의 장기적인
안정성과 기능을 보장하는 데 중요한 역할을 합니다.




심한 염증으로 인해 발치 후 뼈이식을
진행했던 자리였기 때문에,
더 안정적인 임플란트 고정을 위해
신중하게 치료를 진행했습니다.
식립 후, 임플란트에 cover screw라는 나사를 씌워
임플란트 내부로 연조직이나
골이 침투하지 않도록
잇몸을 덮어 꼼꼼하게 봉합을 진행했습니다.
이를 통해 임플란트가 식립된 자리가
안정적으로 유지될 수 있습니다.


식립 2달 후, 임플란트와 잇몸뼈가
단단하게 결합되었는지 확인하기 위해
2차 수술을 진행하였습니다.
이 과정에서 Osstell beacon이라는 장비를 사용하여
ISQ(골 유착 정도)를 측정하고,
안정적인 수치를 확인한 뒤,
임플란트 내부에 있던 cover screw를 풀어냈습니다.
그 다음에는 잇몸 위로 올라오는
Healing abutment로
교체해주었습니다.
Healing abutment는 임플란트 보철물이 올라가기 전에
잇몸의 형태를 자연스럽게 형성해 주기 위해 사용됩니다.
이 과정은 임플란트 보철물이 자리 잡을 때
자연스러운 잇몸 모양을 만들어주어,
더욱 안정적인 최종 보철물을 제작할 수 있게 도와줍니다.

오금역치과 서울봄플란트에서는
임플란트 치료의 중요한 단계인
Healing abutment 교체를 진행하면서,
인접치와의 간격과 잇몸의 두께 등을
고려하여 적절한 Healing abutment 사이즈를
선택한 후 Fixture에 체결하였습니다.
이를 통해 자연스러운 잇몸 모양이
형성될 수 있도록 도와드렸습니다.
또한, 2차 수술을 진행하는 동안, 마취를 하면서
불필요한 아래턱 오른쪽 사랑니(#48)의
발치도 동시에 진행해 드렸습니다.
이렇게 여러 가지 절차를 함께 진행하여
환자분의 치료 시간을 절약하고,
보다 편리하게 치료를 받으실 수 있도록 했습니다.
잇몸 모양이 형성된 후에는 최종 보철물 제작을 위한
인상채득을 진행하게 되는데요.
오금역치과 서울봄플란트에서는 구강 스캐너를
사용하여 인상재로 인한 불편감을 줄이고,
빠르고 정밀하게 인상채득을 진행해드렸습니다.
이 과정은 환자분의 불편을 덜어주며,
신속한 보철물 제작을 돕습니다.

인공치근과 크라운을 연결할 때,
기둥 역할을 하는 지대주는
맞춤형 지대주(custom abutment)로 제작하였습니다.
그 후, 자연치아와 유사한 강도를 가지고 있고,
심미적으로 뛰어난 지르코니아 크라운을 사용하여
임플란트 보철물을 마무리하였습니다.

발치 후 뼈이식을 동반한 임플란트 식립을
도와드린 사례를 소개해 드렸는데요.
환자분은 처음에 타 치과에서 임플란트가
불가하다고 진단받아 걱정이 많으셨습니다.
그러나 서울봄플란트에서 꼼꼼한 치료 과정을 통해,
환자분은 편안하게 저작할 수 있게 되었고,
임플란트 치료를 잘 마무리해 준 점에 대해
감사의 말씀을 전해주셨습니다.^^
이 환자분은 염증이 심하고
골 소실이 많은 부위였기 때문에
다량의 뼈이식이 필요했으며,
전체 치료 기간이 다소 오래 걸렸습니다.
그러나 환자분께서 잘 따라와 주신 덕분에
임플란트 식립을 잘 마무리 할 수 있었습니다.
임플란트는 식립 과정뿐만 아니라,
사후관리가 매우 중요한 치료입니다.
식립 후 관리가 제대로 이루어지지 않으면,
임플란트 주위로 염증이 생기거나,
임플란트가 흔들려 탈락하는 등의 부작용이 발생할 수 있습니다.

그렇기 때문에 임플란트를 오랫동안
건강하게 유지하기 위해서는
부드러운 칫솔을 사용하여
꼼꼼하게 닦는 것이 매우 중요합니다.
또한, 치실과 치간칫솔을 사용하여
임플란트와 잇몸 사이를 더욱 세밀하게
닦아주는 것도 필수입니다.
무엇보다 치과 정기검진을 통해
잇몸과 임플란트 상태를
꼭 점검받으시는 것이 중요합니다.
따라서, 정기검진과 올바른 구강 관리를
꼭 기억하시고 실천해 주시기 바랍니다.

임플란트는 난이도가 높은
치과 치료에 속하기 때문에,
경험이 풍부하고 숙련된 의료진이 있는
치과에서 받는 것이 매우 중요합니다.
누가 어떻게 심느냐에 따라 수술의 성공률과
예후가 달라질 수 있기 때문에,
치과 선택에 있어 신중해야 합니다.
서울봄플란트치과는 보건복지부 인증 치주과/
통합치의학과 더블보드 전문의 대표원장이
다년간의 임상 경험과 노하우를 통해
고난도의 임플란트 치료를 성공적으로 진행하고 있으며,
뛰어난 치료 결과를 자랑하고 있습니다.
서울봄플란트치과에서는 임플란트 치료에 있어
안정적인 결과를 제공할 수 있으므로,
안심하고 내원하실 수 있습니다.
언제든지 서울봄플란트치과로 편히
내원하시거나 문의해 주시기 바랍니다.

* 모든 증례 사진은
의료법 제23조, 제56조에 의거하여
환자분의 동의하에 업로드가 진행되었습니다.